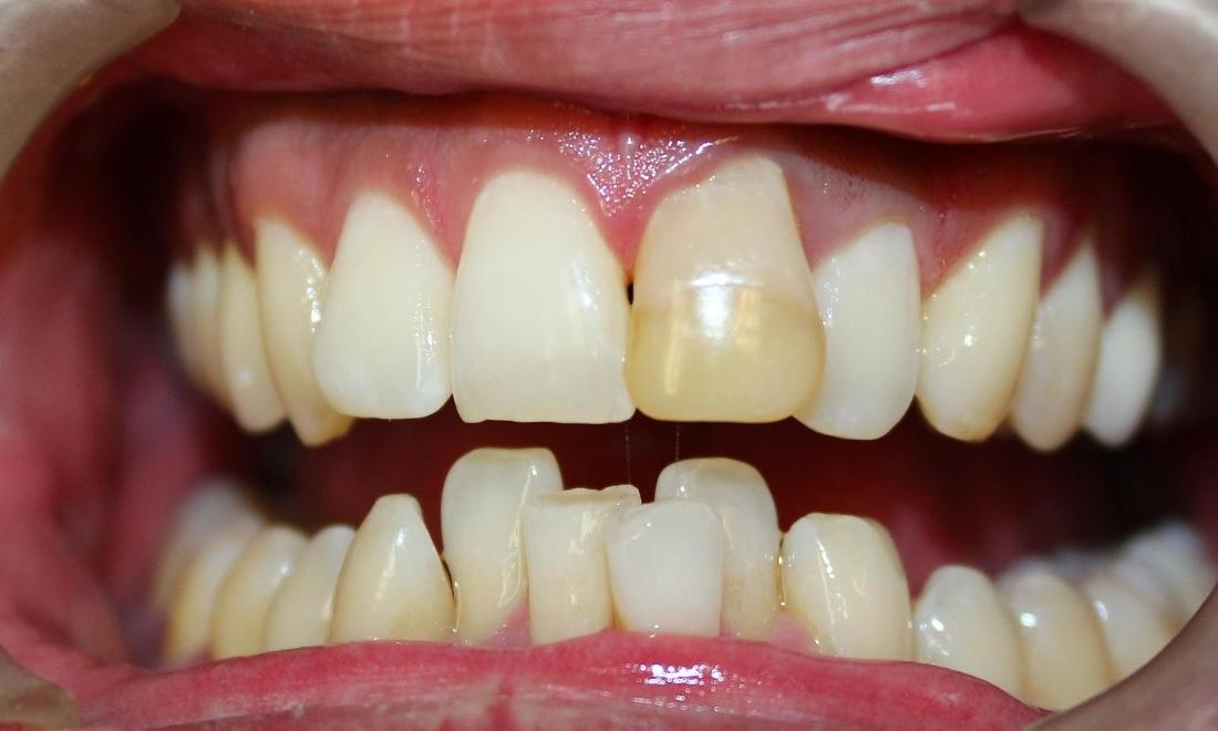
This patient was unhappy with the appearance of an old composite, or tooth colored, filling that he has had since he was a kid. His tooth was broken and a composite filling was placed to restore it. When the restoration was placed he said it initially matched and looked good! Unfortunately, over the years it has discolored no longer matches his teeth.
He thought that nothing could be done to fix it. That couldn't be farther from the truth! This was an easy fix that involved simply taking off the old filling and placing a new all ceramic crown matches his teeth better. He loves the result and can't stop smiling.
Do you have any fillings that you no longer like the appearance, color, shape, or shade?
We would love to schedule time for you to come in and talk about how we can help you.
