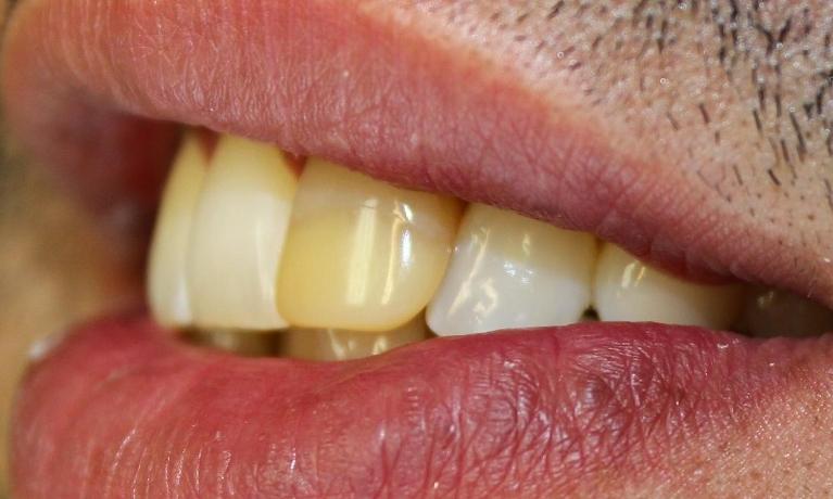
At Generations Family and Cosmetic Dentistry, we provide everything from routine preventive care to dramatic transformations! If you've been looking to make changes to your smile, we encourage you to look through our smile gallery to see the changes we've made in the lives of real patients. Give us a call today to talk about your options!
