Dental Crowns in Arvada CO

Dental Crowns: Restoring Your Smile with Precision and Comfort
If you’ve been told that you need a dental crown, you may be wondering what it is, why it’s necessary, and how the process works. We offer high-quality, durable crowns designed to restore the health, function, and appearance of your teeth. Here’s everything you need to know about crowns and why they might be the right choice for you.
What is a Dental Crown?
A dental crown is a custom-made “cap” that fits over a damaged or decayed tooth to restore its shape, size, strength, and appearance. Crowns are designed to look and function just like your natural teeth, and they can be made from a variety of materials, including porcelain, ceramic, or metal alloys.
Crowns are used in a variety of situations, including:
-
To protect a weak or cracked tooth from further damage.
-
To restore a tooth after a root canal treatment, when the tooth becomes brittle.
-
To cover a dental implant, ensuring a natural and strong replacement for a missing tooth.
-
To improve the appearance of discolored or misshapen teeth, helping you achieve a more uniform smile.
Why Might You Need a Crown?
If you have a tooth that is severely decayed, fractured, or weakened by a large filling, a crown can help restore its strength and function. Crowns are also a good option if you’re dealing with significant wear and tear on your teeth, which can happen over time due to factors like grinding or age.
Some signs you might need a crown include:
-
Severe tooth pain or sensitivity.
-
A cracked or chipped tooth.
-
A large filling that no longer provides adequate support.
-
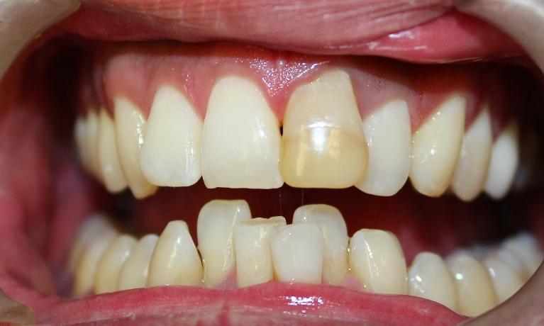
A discolored tooth that affects the appearance of your smile.
The Crown Procedure: Quick, Easy, and Comfortable
Thanks to the advanced technology in our office, getting a dental crown is easier and more comfortable than ever. Here’s how the process works:
-
Digital Scanning: We use state-of-the-art digital scanners to take precise, 3D images of your tooth. This eliminates the need for uncomfortable impressions and allows us to create a custom crown that fits perfectly.
-
Custom Design: Using the digital scan, we design your crown to match your tooth’s exact shape and size. This ensures a comfortable and natural fit, both in terms of appearance and function.
-
Crown Fabrication: Once your design is complete, we use our in-office technology to mill your crown from high-quality materials. This can often be done in a single visit, so you don’t have to wait for a lab to make it.
-
Placement: After your crown is ready, we carefully place it over your tooth, ensuring it fits securely and looks completely natural. Once in place, your crown will restore the strength and functionality of your tooth, so you can eat, speak, and smile with confidence.
How Long Do Dental Crowns Last?
Crowns are designed to be durable and long-lasting. With proper care, your crown can last 10-15 years or longer. The lifespan of your crown depends on factors like the material used, how well you maintain your oral hygiene, and how much pressure your teeth endure (for example, from grinding or chewing hard foods).
Benefits of Crowns at Generations Family & Cosmetic Dentistry:
-
Fast and Precise: With our digital scanning and in-house milling technology, we can design and place your crown in as little as one visit.
-
Natural Look: Our crowns are made from materials that blend seamlessly with your natural teeth, providing a beautiful, lifelike appearance.
-
Comfort: No messy impressions or temporary crowns. We make the process as comfortable and stress-free as possible.
-
Long-Term Durability: With proper care, your crown will continue to provide long-lasting protection and support for your tooth.
Caring for Your Crown
Once your crown is in place, it’s important to continue caring for it just like you would your natural teeth. Brush and floss regularly, avoid chewing on hard objects, and visit us for regular check-ups to ensure your crown stays in great condition.
Don’t Try to Manage Damaged Teeth Alone
If you’re experiencing issues with a damaged or weakened tooth, or if you think you might need a crown, don’t wait. We can help restore your tooth’s strength and appearance quickly and comfortably using the latest technology. Call us today to schedule your consultation and take the first step toward a healthier, more confident smile!
Frequently Asked Questions
Crowns can be made from a number of materials. In the past, you commonly saw all-metal crowns or “porcelain-over-metal” crowns. While the porcelain-over-metal crowns were an improvement over all-metal crowns, they did have one problem—the metal at the edge of the crown by the gumline shows. This looks like a dark ring around your tooth.
At Generations Family and Cosmetic Dentistry, we use all-porcelain crowns. This gives your restorations a seamless appearance and eliminates the problem of the dark ring.
Do you have an old crown? It might be time to replace it. While crowns are designed to be long-lasting and durable, they generally don’t last forever. Dr. Compton is happy to assess the health and stability of your crown and make sure that it’s still doing its job. If you’re unhappy with the appearance of your older crown, we can discuss that as well and replacement with a new all-porcelain crown might be an option.
We believe that your dentistry should be both functional and aesthetically pleasing. The appearance of your smile is important and it’s one of the first things that people notice when they meet you. Every treatment at our office is done with an eye toward both function and aesthetics.
Please give us a call to learn more.
Meet Our Doctor:
Julie
Front Office Manager
At the heart of our practice, you'll find Julie, our Front Office Manager with 25 years of experience. Julie is the friendly voice you’ll hear when you call to schedule your appointment or ask questions about your treatment and insurance. She’s dedicated to ensuring every patient’s experience is smooth, welcoming, and stress-free.
When she’s not at the office, Julie enjoys taking care of her small farm, spending quality time with her family, and escaping to the beaches of Maui. Her caring nature and deep commitment to our ...

